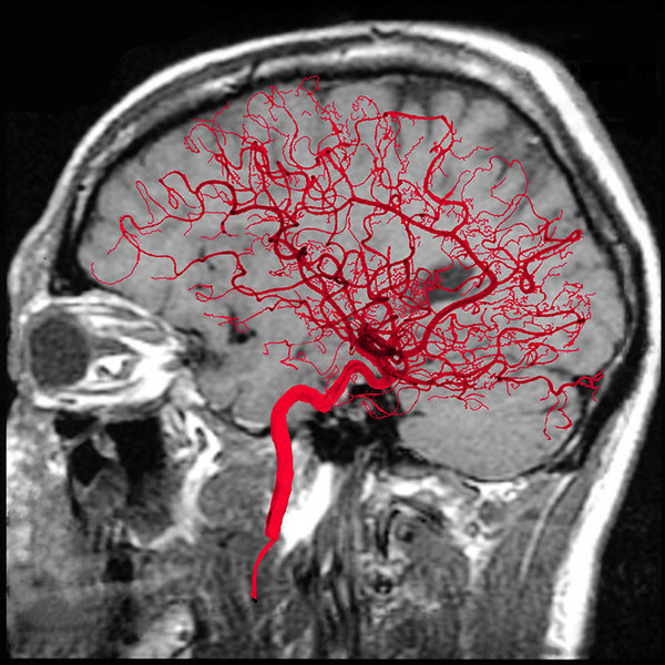
МРТ (магнитно-резонансная томография) – современный метод инструментальной диагностики, позволяющий визуализировать структуру тканей исследуемого участка и выявить наличие различных патологических процессов. Это обследование широко используется для диагностики изменений в сосудистых структурах головного мозга при различных заболеваниях.

Метод МРТ сосудов головного мозга представляет собой физическое явление, при котором атомные ядра поглощают магнитное поле, а в ответ излучают электромагнитную волну (ядерный резонанс). С помощью современной аппаратуры проверяют отбракованные под действием магнитного поля радиоволны, с последующей визуализацией структуры тканей исследуемого участка тела.
Существует несколько видов МР-томографии, при которых возможно более детальное обследование:
Для выявления причины нарушения структуры или функционального состояния кровотока в головном мозге дополнительно может быть проведено МРТ сосудов шеи, так как они отвечают за кровоснабжение головы.
МРТ сосудов головы проводится для диагностики ряда патологических процессов с нарушением кровоснабжения тканей головного мозга. К ним относятся:
Обычно визуализация мозговой ткани с кровеносными сосудами назначается врачами различных специальностей при наличии симптомов, включающих выраженные периодические головные боли, нарушения сознания, частые и выраженные головокружения и шум в ушах неизвестного происхождения. Также МРТ позволяет более точно поставить диагноз в тех случаях, когда другие методы инструментальной диагностики не дали достоверных результатов.
Используя качественную визуализацию строения тканей головного мозга, артерий и вен, врач может выявить ряд показателей и диагностических критериев заболеваний, к которым относятся:
МРТ является современным методом инструментальной диагностики, который имеет ряд преимуществ. В частности, магнитно-резонансная томография относится к безопасным, высокоинформативным, неинвазивным (характеризуется отсутствием повреждения тканей при исследовании), точным и информативным (методика позволяет визуализировать даже небольшие изменения) методам диагностики.
Благодаря информативности и безопасности магнитно-резонансная томография получила широкое распространение в клинической медицине. Она может диагностировать значительное количество заболеваний, в том числе у детей и беременных женщин.
В медицинском центре используется передовое оборудование для проведения магнитно-резонансной томографии. Диагностика проводится опытными специалистами, которые проходят ежегодную переквалификацию за рубежом.
| Магнитно-резонансная томография урография A05.28.003 | A05.28.003 13 200 ₽ |
| Магнитно-резонансная холангиография A05.14.002 | A05.14.002 12 100 ₽ |
| Магнитно-резонансная томография тонкой кишки с контрастированием A05.17.001.001 | A05.17.001.001 28 100 ₽ |
| Магнитно-резонансная томография органов брюшной полости и забрюшинного пространства A05.30.005.050 | A05.30.005.050 26 000 ₽ |
| Магнитно-резонансная томография почек и надпочечников, без контрастирования A05.28.002.050 | A05.28.002.050 16 700 ₽ |
| Магнитно-резонансная томография грудинно-ключичных сочленений A05.30.006.050 | A05.30.006.050 15 700 ₽ |
| Магнитно-резонансная томография мягких тканей и костей одного предплечья, без контрастирования A05.01.002.050 | A05.01.002.050 19 600 ₽ |
| Магнитно-резонансная томография мягких тканей и кости одного плеча, без контрастирования A05.01.002.051 | A05.01.002.051 19 600 ₽ |
| Магнитно-резонансная томография локтевого сустава A05.04.001.050 | A05.04.001.050 17 100 ₽ |
| Магнитно-резонансная томография лучезапястного сустава A05.04.001.051 | A05.04.001.051 19 600 ₽ |
| Магнитно-резонансная томография пальца и сегмента кисти A05.30.011.050 | A05.30.011.050 14 700 ₽ |
| Магнитно-резонансная томография плечевого сустава A05.04.001.052 | A05.04.001.052 21 200 ₽ |
| Магнитно-резонансная томография кисти A05.30.011.002 | A05.30.011.002 21 200 ₽ |
| Магнитно-резонансная томография височно-нижнечелюстных суставов, без контрастирования A05.04.001.054 | A05.04.001.054 20 400 ₽ |
| Магнитно-резонансная томография глазниц (орбит), без контрастирования A05.26.008.050 | A05.26.008.050 18 400 ₽ |
| Магнитно-резонансная томография мягких тканей лица и лицевого скелета, без контрастирования A05.01.002.052 | A05.01.002.052 20 200 ₽ |
| Магнитно-резонансная томография мягких тканей шеи без контрастирования A05.01.002.053 | A05.01.002.053 20 200 ₽ |
| Магнитно-резонансная томография носоглотки, без контрастирования A05.08.004.001 | A05.08.004.001 20 200 ₽ |
| Магнитно-резонансная томография околоносовых пазух, без контрастирования A05.08.001.001 | A05.08.001.001 19 100 ₽ |
| Магнитно-резонансная томография основания черепа A05.03.003 | A05.03.003 17 400 ₽ |
| Магнитно-резонансная томография ротоглотки, без контрастирования A05.08.004.002 | A05.08.004.002 20 200 ₽ |
| Магнитно-резонансная томография молочных желез для оценки целостности имплантов A05.20.003.050 | A05.20.003.050 18 100 ₽ |
| Магнитно-резонансная томография молочных желез с контрастированием A05.20.003.003 | A05.20.003.003 43 500 ₽ |
| Скрининговая магнитно-резонансная томография молочных желез с контрастированием A05.20.003.051 | A05.20.003.051 31 600 ₽ |
| Магнитно-резонансная томография мягких тканей брюшной стенки без контрастирования A05.01.002.054 | A05.01.002.054 20 200 ₽ |
| Магнитно-резонансная томография мягких тканей грудной стенки без контрастирования A05.01.002.055 | A05.01.002.055 19 100 ₽ |
| Магнитно-резонансная томография мягких тканей, без контрастирования A05.01.002.061 | A05.01.002.061 22 000 ₽ |
| Магнитно-резонансная томография мягких тканей и костей одной голени, без контрастирования A05.01.002.056 | A05.01.002.056 21 200 ₽ |
| Магнитно-резонансная томография мягких тканей и кости одного бедра, без контрастирования A05.01.002.058 | A05.01.002.058 21 200 ₽ |
| Магнитно-резонансная томография мягких тканей паховой и лобковой области A05.01.002.060 | A05.01.002.060 19 400 ₽ |
| Магнитно-резонансная томография обоих тазобедренных суставов A05.04.001.056 | A05.04.001.056 17 300 ₽ |
| Магнитно-резонансная томография голеностопного сустава A05.04.001.057 | A05.04.001.057 21 200 ₽ |
| Магнитно-резонансная томография коленного сустава A05.04.001.058 | A05.04.001.058 21 200 ₽ |
| Магнитно-резонансная томография стопы A05.30.012.002 | A05.30.012.002 21 200 ₽ |
| Магнитно-резонансная томография крестцового сплетения и его ветвей на уровне таза (седалищные, половые, бедренно-половые) (МР-нейрография), без контрастирования A05.30.004.054 | A05.30.004.054 27 200 ₽ |
| Магнитно-резонансная томография нервов верхней конечности на протяжении одного сегмента (Магнитно-резонансная нейрография), без контрастирования A05.30.011.003 | A05.30.011.003 22 600 ₽ |
| Магнитно-резонансная томография плечевого нервного сплетения (с одной стороны), без контрастирования A05.30.011.001.001 | A05.30.011.001.001 19 000 ₽ |
| Магнитно-резонансная томография седалищного нерва на всем протяжении (МР-нейрография), без контрастирования A05.23.009.010.001 | A05.23.009.010.001 27 200 ₽ |
| Магнитно-резонансная томография всех отделов позвоночника (шейный, грудной, поясничный, крестцовый и копчик), без контрастирования A05.03.002.050 | A05.03.002.050 51 700 ₽ |
| Магнитно-резонансная томография грудного отдела позвоночника A05.03.002.051 | A05.03.002.051 21 200 ₽ |
| Магнитно-резонансная томография крестцово-подвздошных сочленений A05.04.001.059 | A05.04.001.059 21 200 ₽ |
| Магнитно-резонансная томография крестцового отдела позвоночника и копчика A05.03.002.052 | A05.03.002.052 18 400 ₽ |
| Магнитно-резонансная томография пояснично-крестцового отдела позвоночника и копчика A05.03.002.053 | A05.03.002.053 21 200 ₽ |
| Магнитно-резонансная томография поясничного отдела позвоночника A05.03.002.054 | A05.03.002.054 19 100 ₽ |
| Магнитно-резонансная томография трёх отделов позвоночника (шейный, грудной, поясничный), без контрастирования A05.03.002.055 | A05.03.002.055 41 800 ₽ |
| Магнитно-резонансная томография шейного отдела позвоночника и магнитно-резонансная ангиография артерий шеи A05.03.002.056 | A05.03.002.056 29 200 ₽ |
| Магнитно-резонансная томография шейного отдела позвоночника A05.03.002.057 | A05.03.002.057 21 200 ₽ |
| Магнитно-резонансная ангиография артерий головного мозга A05.12.007.001 | A05.12.007.001 15 200 ₽ |
| Магнитно-резонансная ангиография артерий шеи и головного мозга, с контрастированием A05.12.006.001 | A05.12.006.001 31 300 ₽ |
| Магнитно-резонансная ангиография артерий шеи, без контрастирования A05.12.007.002 | A05.12.007.002 15 300 ₽ |
| Магнитно-резонансная ангиография брюшной аорты с контрастированием A05.12.006.002 | A05.12.006.002 34 100 ₽ |
| Магнитно-резонансная ангиография грудной аорты с контрастированием A05.12.006.003 | A05.12.006.003 31 200 ₽ |
| Магнитно-резонансная венография (флебография) тазовых (подвздошных) вен, без контрастирования A05.12.007.003 | A05.12.007.003 23 400 ₽ |
| Магнитно-резонансная венография (флебография) тазовых (подвздошных), нижней полой и почечных вен, без контрастирования A05.12.005.004 | A05.12.005.004 30 600 ₽ |
| Магнитно-резонансная венография головного мозга A05.12.005.001 | A05.12.005.001 15 200 ₽ |
| Магнитно-резонансная томография сердца с контрастированием A05.10.009.001 | A05.10.009.001 39 900 ₽ |
| Магнитно-резонансная томография средостения A05.11.001 | A05.11.001 17 800 ₽ |
| Магнитно-резонансная томография аноректальной (перианальной) области A05.18.001.050 | A05.18.001.050 26 200 ₽ |
| Магнитно-резонансная томография мошонки A05.21.001 | A05.21.001 26 200 ₽ |
| Магнитно-резонансная томография органов малого таза, без контрастирования A05.30.004.050 | A05.30.004.050 26 200 ₽ |
| Магнитно-резонансная томография полового члена A05.21.001.001.001 | A05.21.001.001.001 26 200 ₽ |
| Магнитно-резонансная томография предстательной железы (мультипараметрическая) с контрастированием A05.21.001.002 | A05.21.001.002 39 400 ₽ |
| Магнитно-резонансная томография тазового дна с функциональными пробами (дефекография) A05.30.004.002 | A05.30.004.002 22 800 ₽ |
| Магнитно-резонансная томография гипофиза A05.22.002 | A05.22.002 21 200 ₽ |
| Магнитно-резонансная томография головного и спинного мозга с контрастированием A05.23.009.001.001 | A05.23.009.001.001 50 200 ₽ |
| Магнитно-резонансная томография головного мозга обзорная и магнитно-резонансная ангиография артерий головного мозга A05.23.009.008.001 | A05.23.009.008.001 34 200 ₽ |
| Магнитно-резонансная томография головного мозга обзорная и магнитно-резонансная ангиография артерий и вен головного мозга, без контрастирования A05.23.009.008.002 | A05.23.009.008.002 43 300 ₽ |
| Магнитно-резонансная томография головного мозга обзорная A05.23.009.050 | A05.23.009.050 27 300 ₽ |
| Магнитно-резонансная томография головного мозга при внутричерепных новообразованиях (включая перфузию) с контрастированием A05.23.009.051 | A05.23.009.051 31 300 ₽ |
| Магнитно-резонансная томография головного мозга при рассеянном склерозе и других демиелинизирующих заболеваниях с контрастированием A05.23.009.001.002 | A05.23.009.001.002 31 300 ₽ |
| Магнитно-резонансная томография головного мозга при эпилепсии (эпипротокол), без контрастирования A05.23.009.052 | A05.23.009.052 36 300 ₽ |
| Магнитно-резонансная томография конуса спинного мозга и спинномозговых корешков на уровне поясничного отдела позвоночника, без контрастирования A05.23.009.001.003 | A05.23.009.001.003 17 300 ₽ |
| Магнитно-резонансная томография мосто-мозжечковых углов, черепно-мозговых нервов, в т.ч. при нейроваскулярном (вазоневральном) конфликте A05.23.009.053 | A05.23.009.053 19 000 ₽ |
| Магнитно-резонансная томография спинного мозга (грудной отдел) A05.23.009.010.002 | A05.23.009.010.002 15 800 ₽ |
| Магнитно-резонансная томография спинного мозга (шейный отдел) A05.23.009.010.003 | A05.23.009.010.003 14 500 ₽ |
| Магнитно-резонансная томография головы и туловища в режиме диффузии, без контрастирования A05.23.009.004.001 | A05.23.009.004.001 28 800 ₽ |
| Магнитно-резонансная томография головного мозга топометрическая A05.23.009.006 | A05.23.009.006 24 700 ₽ |
| Магнитно-резонансная томография позвоночника (один отдел) топометрическая A05.23.009.010.004 | A05.23.009.010.004 21 000 ₽ |
| Магнитно-резонансная томография органов брюшной полости и забрюшинного пространства топометрическая A05.30.005.001.001 | A05.30.005.001.001 26 800 ₽ |
| Магнитно-резонансная томография конечности (один сегмент) топометрическая A05.30.009.001 | A05.30.009.001 20 900 ₽ |
| Магнитно-резонансная томография органов малого таза топометрическая A05.30.009.002 | A05.30.009.002 25 800 ₽ |
| Магнитно-резонансная томография мягких тканей (одна анатомическая зона) топометрическая A05.30.009.003 | A05.30.009.003 21 000 ₽ |
| Внутривенное введение лекарственных препаратов (внутривенное контрастирование полумолярным контрастным препаратом) A11.12.003.151 | A11.12.003.151 17 200 ₽ |
| Внутривенное введение лекарственных препаратов (внутривенное контрастирование гепатоспецифичным контрастным препаратом) A11.12.003.152 | A11.12.003.152 33 500 ₽ |